Վամպիրն ատամնաբուժարանում (լուսանկարներ)
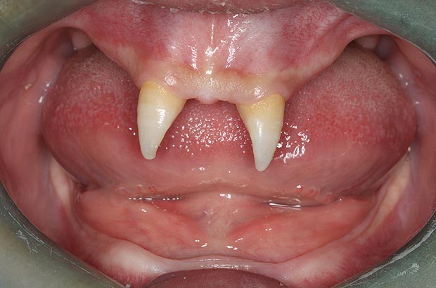
16-ամյա մայրը Վանգ Պենգֆեյին բոլորը վամպիրի են նմանեցնում։ Տղան ընդամենը երկու սուր ժանիք ունի։
Պատանում մայրը՝ Վանգ Հույը, որդուն նախորդ շաբաթ նրան տարել է հիվանդանոց, որպեսզի պարզի այդ տարօրինակ երևույթի պատճառը և տղային նորմալի տեսքի բերեն։ Պատճառները պարզելու հարցում հույսեր կարծես չկան. բժիշկները դա համարում են բնական արատ։ Ինչ վերաբերում է այն շտկելուն, ապա դա հնարավոր է վիրահատության միջոցով։ Սակայն բժիշկները վիրահատությունը կկատարվի այն ժամանակ, երբ տղան չափահաս կդառնա։





